Другое
 Многим людям знакомо неприятное состояние – изжога, которая характеризуется неким ощущением жжения по ходу
 Аналоги препарата по кодам АТХ: ВАЛЕРИАНЫ ЛЕКАРСТВЕННОЙ КОРНЕВИЩ С КОРНЯМИ НАСТОЙКА + КАМФОРА +
 Особенности и механизмы развития заболевания Этиологическим агентом инфекции является РНК-геномный рубивирус, относящийся к семейству
 Прыщи и другие воспалительные процессы на лице – это всегда неприятность, с которой следует
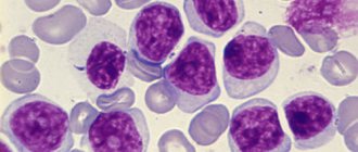
 Острый лейкоз у детей С острыми злокачественными поражениями органов кроветворения маленькие пациенты попадают в
 Сегодня сайт sympaty.net поговорит о том, как и чем можно поднять иммунитет взрослому человеку.
 Фармакологическое действие Диувер- диуретическое. Фармакодинамика Торасемид является петлевым диуретиком. Максимальный диуретический эффект развивается спустя
 Каждый день глаза человека подвергаются большим нагрузкам и неблагоприятному воздействию внешней среды. Для того
 Сравниваем объективно Большой ассортимент препаратов от геморроя в аптеках заставляет людей постоянно сомневаться относительно
 Фармакодинамика и фармакокинетика Про диметилсульфоксид, что это такое и как именно действует, важно знать










