Что такое экзема рук
Хроническое воспаление кожи аллергической природы называют экземой. Патология проявляется высыпаниями разного вида, зудом на руках. Болезнь характеризуется сложным и цикличным течением – обострение сменяется периодами ремиссии.
Экзема – это аллергическая реакция кожи на токсическое отравление, которое вызвано нарушением периферийного тока лимфы и крови.
Иммунная система в ответ на агрессивное действие определенных веществ начинает вырабатывать антитела. Они провоцируют повышение уровня серотонина, гистамина и лимфокинов. В норме медиаторы воспаления не влияют на организм, но при вторжении антигенов становятся агрессивными. Поэтому на коже рук появляются экзематозные признаки.
Классификация патологии
Заболевание различают в зависимости от патогенеза (механизма развития). Основные виды экземы:
- истинная (идиопатическая): дисгидротическая, пруригинозная, гиперкератолитическая (омозолелая);
- контактная (профессиональная);
- микробная: монетовидная (нумулярная), паратравматическая, грибковая;
- себорейная;
- атопическая;
- детская: микробная, пруригинозная, истинная, герпетиформная, себорейная.
По виду высыпаний экзема на руках делится на 2 типа. К ним относятся:
- Сухая – большое количество сухих корочек сероватого цвета.
- Мокрая – влажная сыпь на ладонях, между пальцами. Кожа краснеет по всей площади руки.
Патология классифицируется по стадиям развития:
- эритематозная (покраснение кожи) – начальная стадия;
- папулезная (появление узелков);
- везикулезная (образование пузырьков);
- мокнущая (выход серозной жидкости);
- корочковая (подсыхание экссудата);
- сквамозная (шелушение сухих корок) – завершающая стадия.
По характеру течения заболевание имеет 3 стадии:
- Острая – ярковыраженная симптоматика длительностью до 2 месяцев;
- Подострая – мягкое течение, но признаки сохраняются до полугода;
- Хроническая – рецидивы сменяются ремиссией. Длительность стадии не определена.
Диагностика заболевания
Лечением экзематозного дерматита занимается исключительно дерматолог. Любая терапия начинается с диагностирования заболевания. Диагностика экзематозного дерматита основана на анамнезе патологии. Помимо этого берутся во внимание визуальные признаки и симптомы, на которые жалуется пациент.
При посещении консультативного осмотра доктор проведет визуальный осмотр ваших рук. Основой диагностики является не только осмотр пациента, но и проведение опроса пациента по поводу проявления признаков заболевания, образа жизни, вида профессиональной деятельности и генетической предрасположенности к экземе на руках.
Также для более досконального исследования этиологии заболевания назначается ряд лабораторных обследований и обязательно консультацию аллерголога-иммунолога.
Необходимые для сдачи анализы:
- Общие анализы крови и мочи
- Определение уровня титраиммуноглобулина Е
- Аллергические диагностические пробы
- Кала на наличие яиц гельминтов
- Микроскопия соскоба кожи рук
- Биопсия воспаленного участка
Для установления точного диагноза проводится гистологическое исследование. Для экзематозного дерматита любой формы гистологическая картина является одинаковой. Какие-либо изменения наблюдаются только на различных стадиях воспаления, которые могут развиваться при экземе на руках.
При острой стадии протекания заболевания наблюдается:
- Паракератоз в верхних слоях кожи.
- Очаговый спонгиоз.
- Отечность сосочкового слоя кожи.
При наличии хронической формы экзематозного дерматита будут следующие проявления:
- Массивный гиперкератоз
- Паракератоз
- Акантоз
- Периваскулярный инфильтрат
После получения всех результатов анализа дерматолог диагностирует у пациента наличие экзематозного дерматита на руках и назначает полноценное лечение данного недуга. Для этого в зависимости от установленной причины развития экземы могут быть привлечены к лечению такие узкие специалисты так психотерапевт, гастроэнтеролог, эндокринолог.
Симптомы заболевания
Признаки патологии возникают постепенно. Сначала экзема на пальцах рук, ладонях, кистях, затем болезнь распространяется дальше. Симптомы зависят от вида патологии. Основные признаки:
- покраснение кожи рук с четкими границами воспаления;
- отек тканей;
- жжение и зуд;
- акантоз (утолщение) дермы;
- образование узелков;
- сухость или влажность эпидермиса;
- гипертермия кожи рук;
- появление везикул (пузырьков с жидкостью);
- болезненные трещины, язвы, ранки;
- бессонница, раздражительность.
Статьи по теме
- Чесотка у человека — симптомы и проявления, способы лечения
- Виды дерматитов — признаки и проявления, диагностика и лечение
- Паронихий пальца — виды воспалений на ногах или руках, медикаментозная и хирургическая терапия
Как выглядит сухая экзема
Главные отличие этого вида патологии – отсутствие лопающихся везикул. Место локализации – тыльная сторона пальцев и кисти. Начало болезни напоминает экзематид – появляются пятна розового цвета. Эритемы постепенно сливаются и образуют красное бляшковидное пятно. Затем кожа становится сухой, начинает шелушиться, появляются коросты и болячки.
При отсутствии лечения появляются болезненные трещины, из которых выделяется сукровица. Она служит питательной средой для патогенных микроорганизмов, поэтому на пальцах или кистях могут появиться гнойные язвы.
Мокрая
Этот вид экземы характеризуется образованием «серозных колодцев» — эрозий с постоянной выделяющейся жидкостью. Они имеют четкую границу, но потом объединяются в ярко-красные очаги без рогового слоя эпителия. Основание эрозий отечное, из них постоянно сочится экссудат серого цвета. Мокрая экзема также сопровождается жжением и зудом.
Симптомы и лечение мокрой экземы: фото, виды и начальные стадии заболевания на ногах
Экземой называется кожное воспалительное заболевание аллергического характера, отличающееся склонностью к рецидивам и появляющееся в виде жжения, зуда и сыпи на кожных покровах в различных местах. У пациентов наблюдается высокая чувствительность кожи к действию различных раздражителей, что объясняет зачастую отягощенное сопутствующими болезнями прохождение экземы.
Патогенез заболевания похож с механизмом проявления аллергического дерматита. Зачастую последний является заболеванием, которое предшествует началу появления экземы. Образование экземы на ноге – это одна из наиболее распространенных областей ее расположения.
Причины образования экземы на ногах
причина появления экземы – это наследственная расположенность к нарушению реактивности организма, а также к аллергизации.
Кожа пораженных экземой, как правило, чувствительна к воздействию всевозможных раздражителей, как внутренних, так и внешних. В крови появляются отклонения в содержании иммунных клеток, в результате этого истинная экзема в своем большинстве объясняется аутоиммунными заболеваниями.
Эндогенные факторы, которые влияют на образование экземы на ногах:
- Патологии работы эндокринной системы (сахарный диабет, гипертиреоз).
- Продолжительные инфекционные заболевания.
- Нейрогенные (стрессы, вегетососудистая дистония, психические травмы, нервные перенапряжения).
- Нарушения кровообращения и болезни сосудов (к примеру, варикоз, тромбофлебит).
- Болезни кишечного и желудочного тракта (гастриты, колиты, панкреатиты, холециститы, язвы).
Экзогенные факторы, которые приводят к появлению экземы на ногах либо рецидиву заболевания:
- Ношение шерстяной или синтетической одежды.
- Ссадины, травмы, раны, царапины.
- Действие повышенных или пониженных температур, изменение климата.
- Грибок на ногах.
- Воздействие химических агентов, аллергенов (пищевых, воздушных, контактных).
Виды и фото экземы
С учетом различных факторов, которые являются причиной появления заболевания, выделяют такие виды экзем на ногах:
- Микробная – образуется возле пиодермии, ран, очагов воспаления.
- Идиопатическая или истинная. Имеет склонность к преобразованию в хроническое заболевание. По внешним признакам бывает мокнущей и сухой.
- Профессиональная экзема появляется у работников химической промышленности, других сфер производств в результате постоянного действия раздражителей. Может образоваться на коже ног при отсутствии спецодежды и защитных костюмов.
- Микотическая – вызвана заражением кожи грибковых заболеваний.
- Роговая или мозолевидная образуется на подошвах ног и представляет собой ороговевший слой ткани с воспалением вокруг.
- Дисгидротическая. Образуется на подошвах ног, может образовывать дистрофические изменения пластин ногтей.
- Варикозная экзема часто сопровождает варикоз вен, образуюсь по ходу инфицированных сосудов нижних конечностей.
- Детская экзема может появляться в любом месте тела, как правило – на руках и ногах.
Симптомы заболевания
Появления любых видов экзем похожи по основным внешним признакам. Самый распространенный вид экземы – это истинная.
Заболевание отличается резким началом с острыми симптомами, затем она постепенно переходит в хроническую болезнь. На фоне покраснения и отека кожи появляются небольшие везикулы, заполненные прозрачной жидкостью.
По мере прохождения экземы пузырьки вскрываются, создавая локальные эрозивные углубления.
На данной фазе это заболевание имеет название «мокнущая» экзема, поскольку содержимое везикул потихоньку вытекает на покровы кожи.
По мере повышения защитной реакции организма на этот раздражитель везикулы высыхают, образуя корки. На этом этапе кожа становится сухой, происходит сильное шелушение. Кожа на ногах начинает трескаться, при этом между трещинами отчетливо заметны коросты и чешуйки.
Любая степень образования может сопровождаться покраснением кожи, отечностью, сильным зудом. Место образование появлений экземы на ногах – в большей степени область под коленями, ступни, верхняя часть голени. Очертания новообразований неровные.
Зараженные участки кожи могут чередоваться со здоровыми.
Во время дисгидротической экземы везикулы воспаленные и плотные, из-за рогового слоя, который покрывает сыпь, отсутствуют мокнущие процессы.
Варикозная и микробная экземы образуются около ран и других кожных повреждениях, выражаясь в покраснении кожи, зуде, сильном отеке, а также появлении пластинчатых корок, гнойников и папул.
Этапы развития
При экземе выделяют шесть стадий:
- Папуловезикулезная – образование сыпи (везикул, папул).
- Острая или эритематозная – эритемы и появление отека.
- Мокнущая – открытие везикул, выраженная влажность.
- Корковая – высыхание пузырьков, появление корост.
- Подострая – стихание процессов воспаления, сухость кожи, появление трещин и чешуек.
- Хроническая – кожа на местах заражения экземой остается пигментированной, сухой, отечной.
Осложнения и последствия
При грамотном лечении экзема на ногах не оставляет шрамов и рубцов. В хронической стадии внешними проявлениями болезни могут быть сильная сухость кожных покровов, синюшность и отечность.
Осложнениями, которые способны причинить вред здоровью, а также являться угрозой для жизни считаются грибковые, вирусные и бактериальные инфекции, заражающие воспаленное место в результате неправильного ухода или расчесывания.
В данном случае на кожной поверхности могут появиться гнойные мокнущие образования с неприятным запахом, ухудшение самочувствия, головные боли, увеличение температуры тела.
Наиболее опасное осложнение, которое может быть стать последствием экземы – это эритродермия. Требует лечения в стационаре, может захватывать обширные участки тела и является генерализованным процессом. Еще одно заболевание, которое является вероятным осложнением экземы и требует срочного лечения – герпетиформная экзема Копоши.
Диагностирование заболевания
Определение диагноза врачом-аллергологом или дерматологом основывается на выявлении факторов провоцирующих экзему и внешнем осмотре пациента.
Лабораторные способы диагностики состоят в исследовании крови на иммунограммы, а также показатели биохимического и общего анализа крови.
Дополнительно могут проводиться пробы кожи на определение аллергенов, а также исследование кала на предмет гельминтов. При подозрении на сопровождающиеся болезни требуются консультации других специалистов.
Дифференциальный диагноз ставится с появлениями чесотки, герпесвирусной инфекции, дерматитов, у детей наличие диатеза.
Экзема на ноге: лечение
Лечение экземы начинается с рекомендаций дерматолога, которые являются обязательными для соблюдения больным, это:
- Вентиляция помещения. Сохранение оптимальной температуры и влажности.
- Прием лекарственных препаратов, введение сывороток и вакцинация.
- Тщательная гигиена кожи ног, контроль отделения пота.
- Полноценный сон, коррекция режима отдыха и труда, ограничение физических и психоэмоциональных нагрузок.
- Исключение всех вероятных раздражителей и аллергенов (шерсти животных, пыли, шерстяной и синтетической одежды, моющих средств, плесени, пыльцы растений, химических препаратов).
- Гипоаллергенная диета.
- Исключение травмирования зараженных мест.
Системное лечение происходит по таким этапам:
- Антигистаминная и десенсибилизирующая терапия – эриус, телфаст, кестин, диазолин, супрастин, тавегил, перитол. Во избежание толерантности рекомендована смена лекарств по истечении терапии.
- Седативная терапия (валериана, пресен, корень пиона, пустырник, аминазин, настойка мяты).
- Для снижения чувствительности к аллергенам уколы тиосульфата натрия и сернокислой магнезии.
- Энтеросорбенты (энтеросгель, полисорб).
- Слабительные и мочегонные препараты для ускорения выхода из организма аллергенов (дюфалак, сенаде, фуросемид).
- При тяжелом прохождении болезни – капельно-плазмозамещающие растворы внутривенно (гемодез, полидез).
- При отсутствии результативности терапии прописывают гормональные препараты кортикостероидов (дипроспан, преднизолон).
- Препараты для коррекции иммунитета (тактивин, рузам, декарис).
- При диагностированных заболеваниях печени и кишечно-желудочного тракта – нормализаторы микрофлоры кишечника (бифидумбактерин, лактобактерин, линекс), желчегонные препараты, ферменты (фестал, мезим).
Рекомендуемые физиотерапевтические процедуры:
- Лазерное лечение.
- Ультрафонофорез.
- Магнитотерапия.
- Электрофорез.
- Рефлексотерапия.
- Грязелечение.
Наружное лечение экземы на ногах
Мази выбираются индивидуально врачом с учетом тяжести течения болезни и ее вида:
- Для снижения воспаления – ихтиоловая, нафталиновая, цинковая мази, дегтярная.
- После стихания воспалений – для снятия зуда водно-спиртовые растворы.
- Во время присоединения бактериальной или грибковой инфекции – мази с антимикотиками и антибиотиками.
- При тяжелом заболевании экземы ног – кортикостероидные мази (мометазон, гидрокортизоновая, адвантан).
Народное лечение экземы на ногах
На начальном этапе болезни, а также после избавления от основных симптомов и при хронической стадии, можно использовать народную медицину:
- Перемешать 50 гр. меда и перемолоты чеснок (3 зубчика), каждый день втирать в зараженное место.
- Потереть сырую картофелину, взять полстакана, перемешать с 1 ч. л. меда и прикладывать к пораженному участку на два часа под повязку.
- Одну морковку потереть на мелкой терке, слить сок, выжимки прикладывать на кожу ног под бинтовую повязку на три часа.
- Смешать три ложки рыбьего жира и одну ложку дегтя, налить одну ложку яблочного уксуса. Данную смесь использовать каждый день до снятия симптомов.
- Вовнутрь можно использовать по 1 ст. л. дважды в день кукурузное масло и запивать водой с небольшим количеством яблочного уксуса.
- Неплохое средство от экземы на ногах – это компрессы из свежей капусты (кашица из них или чуть отбитые листья).
- Перемолоть 30 гр. цветков календулы, добавить сока хрена (1 ложку), такое же количество яблочного уксуса, прикладывать на зараженные участки кожи в качестве аппликаций.
- Примочки из ягод калины и листьев смородины помогают при мокрой экземе.
Профилактика:
- После снятия обострения требуется постоянное увлажнение кожи.
- Сохранение оптимальной влажности и температуры в помещении.
- Выполнение гигиенических правил, но исключение продолжительного и частого контакта с водой.
- Использование одежды из натуральных материалов.
- Использование стиральных порошков, моющих средств, гипоаллергенной косметики.
- Снижение стрессов.
- Исключение всех вероятных контактов с раздражителями, гипоаллергенная диета.
Экзема на ногах – это довольно серьезная болезнь, симптомы которой постоянно доставляют пациенту дискомфорт. Для того чтобы навсегда избавиться от этого неприятного заболевания, необходимо использовать в комплексе эффективные средства от болезни.
//www.youtube.com/watch?v=5fr4vPy7hXQ
Экзема на ногах
Источник: //dermatolog.guru/zabolevaniya/ekzemy/ekzema-nog-na-nachalnoy-stadii-lechenie-i-foto.html
Причины возникновения экземы
Патология относится к заболеваниям нервно-аллергического генеза. Поэтому ее причиной становится специфическая реакция кожи рук на определенный раздражитель:
- тополиный пух, пыльца, шерсть животных, плесень;
- пища с высокими аллергенными свойствами (мед, клубника, яйца, цитрусовые, шоколад);
- красители, химические соединения различного происхождения;
- постоянный контакт с тяжелыми или драгоценными металлами;
- бесконтрольное употребление лекарств (анальгетиков);
- некачественная косметика, бытовая химия, ткани для одежды.
Классификация по расположению очагов недуга
Также обычно выделяют классификацию экземы на руках по местоположению очагов поражения:
- Бляшки на пальцах рук.
- Бляшки на ладонях.
- Бляшки на локтях.
Вне зависимости от места проявления болезни, будь то высыпания на внутренней стороне рук или экзема между пальцами рук, лечение зависит в первую очередь от вида болезни и конкретной ситуации больного.
Экзема, расположенная на локте
Симптоматика недуга на руках
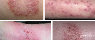
Экзема кожи рук может отличаться признаками в зависимости от типа протекающей болезни, если знать как выглядит экзема на руках, тип недуга определить несложно.
Так, идиопатический вид выражается следующими симптомами:
- высыпания в виде пузырьков и узелков, образующие эрозии, которые в итоге перетекают в серозные колодцы;
- покраснение кожи, и сухость — экзема на локтях;
- сильный зуд;
- лихенизация кожи.
Симптомы микробной монетовидного типа:
- очаги поражения имеют округлую форму и своим видом напоминают монеты;
- отеки и покраснения кожи;
- слабый зуд.
Симптомы микотической:
- очаги поражения покрыты гнойными и серозными папулами;
- имеются мокнущие эрозии;
- сильный зуд;
- покраснение кожи.
Симптомы дисгидротической:
- везикулы – пузырьки диаметром от 1 до 5 мм;
- сильный зуд;
- пузырьки могут образовывать эрозии, которые, заживая, остаются в виде пигментных пятен.
Симптомы профессиональной:
- клиническая картина схожа с проявлениями идиопатическим типом недуга;
- характеризуется хронической формой: ремиссия начинается во время прекращение контакта с аллергеном, обострение – при его воздействии.
Пузырьки трескаются, оставляя раны и эрозии
Причины экземы на руках
Если человек убежден в том, что у него всё-таки экзема на руках, причины должны волновать его в первую очередь. Разные виды болезни связаны с разными провоцирующими факторами, поэтому причины и лечение тесно связаны.
Главную причину идиопатического типа недуга до сих пор не удалось установить. Однако, медики выделяют ряд факторов, которые могут поспособствовать развитию болезни:
- генетическая предрасположенность;
- заболевания органов эндокринной и пищеварительной систем;
- вегетососудистая дистония;
- нарушения в психической системе;
- слабый иммунитет;
- стрессы.
Именно со стрессами и недосыпами обычно связывается экзема на руках после родов.
При хронической форме идиопатического типа недуга обострению могут способствовать следующие факторы:
- токсические вещества;
- шерсть;
- неправильная диета;
- инфекционные заболевания.
От чего конкретно возникает микробная монетовидная экзема, как идиопатическая, на данный момент неизвестно, но ряд ученых считают, что болезнь вызвана наличием в организме хронической инфекции. Однако, это пока остается на уровне гипотезы.
Причины возникновения экземы микотического типа объясняются довольно просто. При повреждениях кожного покрова, в ранку могут попасть патогенные грибы.
Учитывая то, что они являются для нас чужеродными, как и продукты их метаболизма, организм начинает с этим активно бороться. Но в случае если иммунная система нарушена или ослаблена воздействием другого фактора, она вырабатывает чрезмерное количество антител, вызывающих по итогу аллергическую реакцию.
Корень дисгидротической экземы остается для исследователей тайной, но было доказано влияние на развитие болезни ряда раздражителей:
- патологии эндокринной и пищеварительной систем органов;
- ослабленный или нарушенный иммунитет;
- вегетососудистая дистония;
- генетическая предрасположенность;
- пищевая аллергия;
- аллергия на средства бытовой химии;
- нарушение работы нервной системы.
Исследователи полагают, что дисгидротическая экзема коррелируется с другими заболеваниями, прежде всего с атопическим дерматитом, сенной лихорадкой и бронхиальной астмой.
Профессиональный тип недуга развивается под влиянием аллергической сенсибилизации, то есть при учащенных повторах воздействия токсина на кожу. Как и в случае с другими видами недуга, профессиональная экзема связана также с нарушениями пищеварительной, эндокринной и иммунной систем.
Обычная шерсть может спровоцировать обострение болезни
Как вылечить экзему на руках
Лечение патологии зависит от типа, причины и течения болезни и имеет комплексный характер. Экзема кистей, ладоней и пальцев рук лечится следующими методами:
- медикаментозная терапия;
- диета;
- физиолечение;
- народные средства.
Общая медикаментозная терапия
При экземе у взрослого или ребенка назначаются несколько групп препаратов:
- Антигистаминные – блокируют выброс гистаминов, снимая зуд. Средства при тяжелой форме вводятся парентерально (Прометазин, Хлоропирамин), при средней степени –перорально (Зодак, Цитрин, Дезал). Дозировка – по 1 таблетке 3 р/д в течение 2 недель.
- Гормональные – при обширном поражении кожи (Преднизолон, Дексаметазон). Кортикостероиды применяются недолго (1-2 недели) в виде таблеток, инъекций.
- Сорбенты – для лучшего выведения аллергенов (Энтеросгель, Полисорб) не дольше 10 дней.
- Мочегонные – 7-10 дней для ускорения очищения лимфы (Фуросемид).
- Средства для снижения интоксикации (Натрия тиосульфат, Глюконат кальция) – по 10-20 инъекций. При микробной форме – раствор гексаметилентетрамина.
- Седативные – для устранения невротических расстройств. Успокоительные растительного происхождения (Персен, Новопассит) на 3-4 недели или транквилизаторы в малых дозах не более 10 дней (Феназепам, Хлозепид).
- Антибактериальные – при экзодермите (микробной сыпи). Азитромицин, Супракс в таблетках или капсулах. При грибковой инфекции – Низорал, Флуконазол.
- Витамины – для повышения иммунитета (никотиновая и аскорбиновая кислота, инъекции витамина В, масляный раствор Е).
Местное лечение экземы
Терапия наружными средствами зависит от формы заболевания. Назначаются группы препаратов:
- Негормональные кремы или мази (Элидел, Лостерин) и кортикостероиды (Тридерм, Элоком) – снимают воспаление глубоких слоев дермы.
- Слабовяжущие и зудоутоляющие средства (свинцовая вода, жидкость Бурова).
- Антимикробные – Пантенол, бриллиантовая зелень, раствор Резорцина.
Назначение лечения зависит от стадии развития болезни. Используются средства:
- Присыпки из белой глины, окиси цинка – при острой стадии.
- Примочки растворов борной кислоты, танина – при отеке, эритематозном поражении рук.
- Борно-цинковая и салициловая мазь, Паста Лассара – при хроническом течении.
Диетотерапия
Для устранения пищевых аллергенов применяется диета. Основные правила:
- Ешьте небольшими порциями 4-6 раз за день.
- Ведите пищевой дневник для выявления продуктов, вызывающих обострение.
- Откажитесь от жирной, соленой, острой пищи.
- Готовьте еду методом тушения, варки на пару, запекания.
Исключите некоторые продукты, а рацион составьте из растительной и кисломолочной пищи:
| Запрещенные продукты | Разрешенные |
| Жирное мясо, рыба, сало, колбаса, копченая продукция | Баранина, кролик, индейка, субпродукты, хек, минтай, судак |
| Помидоры, чеснок, свекла | Зелень, репа, огурцы, тыква, кабачки |
| Сладости, сдоба, мед, шоколад | Фруктоза, домашняя пастила |
| Цитрусовые, гранат, клубника, дыня, орехи | Чернослив, яблоки, крыжовник, арбуз, банан |
| Цельное молоко | Нежирная кисломолочная продукция |
| Кофе, газировка, красное вино | Отвар шиповника, слабый чай |
| Острые специи, маринады, майонез, яйца | Гречка, рис, овсянка |
Физиолечение
В комплексном лечении применяют физиотерапию. Эффективные процедуры:
- ультрафиолетовое облучение;
- аппликации парафина;
- озонотерапия;
- грязелечение;
- сухие радоновые ванны;
- лазеротерапия;
- иглоукалывание;
- димедроловые ингаляции.
Медикаментозное лечение
Лечить экзему можно с помощью медикаментозных препаратов, физиотерапии, народных методов. Но самым эффективным способом лечения является медикаментозная терапия.
- Если болезнь имеет аллергический характер, необходимо снизить восприимчивость организма к аллергенам. Для этого доктора прописывают курс внутривенных инъекций хлористого кальция, медикаментов с магнием, натрием в составе.
- При бессоннице и других расстройствах нервной системы, сопутствующих заболевание, рекомендуется пройти несколько сеансов гипноза, рефлексотерапию. Также для нормализации функционирования нервной системы назначаются седативные лекарства на растительной основе (настой валерианы, Персен, Новопассит).
- Для очистки кишечника от токсических веществ назначают Энтеросгель, Полисорб.
- Чтобы ослабить интенсивность симптомов при острой экземе, назначаются антигистаминные медикаменты (Дезал, Зиртек).
- Обязательной мерой лечения любой формы экземы является витаминотерапия. Врачи прописывают раствор витамина Е на масляной основе, аскорбиновую, фолиевую кислоты.
- Если причиной возникновения экземы на коже рук послужил дисбактериоз, болезни печени, назначаются ферментные лекарства (Гастенорм, Панкреатин), пробиотики (Лактобактерин).
- Важным элементом лечения является повышение иммунитета. Для этого применяют иммуностимуляторы (Гидрокортизон, Иммуноглобулин, настойка эхинацеи).
- Терапия микробной экземы предусматривает прием антибактериальных препаратов. Если присоединилась инфекция грибкового происхождения, прописываются антимикотические медикаменты.
Лечение препаратами местного применения
Чтобы облегчить симптомы недуга и сократить продолжительность рецидива, используют лекарства местного действия.
Наиболее эффективными средства являются подофиллиновая мазь, димедроловая паста. Если проявились мокнущие ранки на кончиках пальцев и ладонях, применяют присыпки на основе пшеничного крахмала. Отеки, мокнущие области нужно лечить примочками на основе танина, борной кислоты.
Если наблюдается обширное поражение кожи рук, в том числе ногтей и кистей, назначаются гормональные кортикостероидные мази (Целестодерм, Адвантан).
Внимание! Нельзя выбирать препараты по своему усмотрению. Все медикаменты должны быть назначены врачом.
Физиотерапевтические процедуры
Физиотерапевтическое лечение играет не последнюю роль в лечении экземы на руках. Дерматологи рекомендуют принимать ванны с минеральной водой, лечебной грязью. Высокоэффективными являются озонотерапия, лазеротерапия. Также больным следует пройти лечение озокеритом, ультразвуком.
Диета при экземе
Частота приемов пищи должна быть не менее 4 раз в сутки. Чтобы убрать проявления экземы, нужно вычислить, какой продукт является аллергеном.
Перечень продуктов животного происхождения, которые чаще всего вызывают аллергию:
- Рыба.
- Молоко (как коровье, так и козье).
- Курица.
- Яйца.
Содержащие аллергены растительные продукты:
- Орехи.
- Шоколад.
- Чечевица, фасоль, горох.
- Красные, оранжевые, желтые овощи (клубника, апельсины, арбузы).
Если после употребления определенного продукта организм дал реакцию, необходимо полностью исключить его из рациона.
Отдельного внимания требует экзема ногтей. При такой форме болезни запрещены творог, яйца, бобы, жирное молоко. При поражении кистей, пальцев, локтей строго запрещены орехи, цитрусовые.
Рецепты народной медицины
Популярным методом лечения экземы является терапия народными средствами в домашних условиях. Вот список самых действенных рецептов:
- Ванночки из соли. Это средство подходит для лечения экземы на локтях и пальцах. Эти зоны больше всего подвержены сухости. В 1 л горячей воды налейте 2 столовых ложки соли. После того, как она растворится, опустите в ванночку руки на 30 минут.
- Масло из облепихи. Облепиховое масло смягчает, успокаивает кожу. Поэтому это средство подойдет для лечения сухой эрозии кистей, пальцев, локтей и других участков.
- Земляника. Разомните свежие ягоды и нанесите на пораженные участки. Земляничная мякоть наиболее эффективна при экземе кистей, ладоней, пальцев.
Лечить экзему народными методами можно только после консультации с врачом-дерматологом. Любое народное средство может быть как полезным, так и вредным.
Как избавиться от экземы в домашних условиях
Чтобы вылечить болезнь в домашних условиях, соблюдайте рекомендации:
- Придерживайтесь способа приготовления и применения рецепта.
- Нельзя вылечить экзему только народными средствами.
- Соблюдайте диету.
- Используйте рецепты для указанных видов патологии.
Лечение экземы на руках народными средствами
Лекарство от экземы на руках можно приготовить в домашних условиях. Эффективные рецепты:
- 100 г сливочного масла (82,5%) смешать с таким же количеством березового дегтя. Средство наносить на сухую экзему 2-3 р/д на 30 минут.
- По 1 ст. л. яблочного уксуса и дегтя соединить с 3 ст. л. рыбьего жира. Мазь выложить на стерильную салфетку толстым слоем и делать компресс 40-60 минут.
- 20 мл свежевыжатого сока чистотела соединить с вазелином до образования густой консистенции. Настаивать смесь 15 часов. Наносите мазь на экзематозные участки 2 р/д.
- 5 ст. л. корня лопуха засыпать в 3 литра кипящей воды. Отвар томить полчаса под крышкой на медленном огне. В теплом отваре держать руки 15-20 минут. Курс лечения – 2 недели.
Народные методы лечения экземы на лице
Народные рецепты являются эффективным дополнением к основной терапии, но не способны самостоятельно вылечить заболевание.
Важно отметить – помимо полезных свойств, методы народной терапии имеют определенные противопоказания, которые важно учитывать перед началом лечения. В противном случае можно спровоцировать развитие осложнений.
| Название рецепта | Способ приготовления |
| Картофельный компресс | Измельчить два сырых картофеля, смешать с медом до однородной густой массы. Прикладывать на 2 часа к пораженной коже. Также можно использовать картофельный сок – им смазывают сыпь с везикулами. |
| Мазь на основе прополиса | Смешать 150 г топленого сливочного масла с 20 г измельченного прополиса. Варить на водяной бане, постоянно помешивая. Остудить и применять на поврежденной коже перед сном. |
| Ягодный компресс | Измельчить 200 г ягод земляники, смешать с льняным маслом (20 г). Применять в качестве компресса 2 раза в день. |
Экзема на лице является серьезным дерматологическим заболеванием, которое требует своевременной медицинской помощи. Если заболевание запущено, оно будет регулярно рецидивировать, вызывать серьезные осложнения, сопровождаться развитием вторичных инфекций.
Профилактика и прогноз
Экзема имеет хроническое течение, поэтому полностью избавиться от нее невозможно. Но если повышать защитные силы организма и придерживаться здорового образа жизни, можно свести количество рецидивов к минимуму. Самое главное – не запускать болезнь, и при первых же проявлениях начинать бороться с ней.
Чтобы избежать появления этой болезни, нужно придерживаться таких рекомендаций:
- Перед работой с ядами, химикатами всегда надевать перчатки.
- Поддерживать иммунитет.
- Придерживаться правильного питания.
- Носить одежду из натуральных тканей.
- Делать влажную уборку в перчатках.
- Пользоваться только качественной косметикой.
- Мыть руки только мылом или другими специально предназначенными для этого средствами.
- Вовремя лечить заболевания эндокринной системы.
- Если кожа на руках пересыхает, постоянно увлажнять ее,
- Избегать стрессов.
Чтобы эта болезнь никогда не побеспокоила, нужно соблюдать самое главное правило защищать кожу рук от воздействия вредных веществ.
