Что такое атипичная пневмония
Этот общий термин объединяет инфекционные поражения легких, вызванные нетипичными возбудителями. Болезнь передается воздушно-капельным путем. Характерны локальные вспышки в детских коллективах и семьях.
Атипичное воспаление легких у всех возрастных групп диагностируется чаще в зимние месяцы.
Нехарактерные возбудители пневмонии
Нетипичные инфекционные агенты имеют разные микробиологические характеристики. Вызываемые ими симптомы различаются по закономерности возникновения, течения и распространения. У всех нехарактерных микроорганизмов наблюдается высокая устойчивость к лечению распространенными видами антибиотиков. Атипичные возбудители пневмонии:
- микоплазма;
- хламидия;
- вирусы гриппа A, B;
- легионелла;
- коксиелла;
- респираторно-синцитиальный вирус;
- хантавирус;
- коронавирус;
- респираторный вирус парагриппа;
- возбудители лептоспироза, туляремии;
- вирус Эпштейна-Барра.
Причины, симптомы и признаки атипичных инфекций
Восприимчивость среди населения к атипичным возбудителям очень высокая. Передается инфекционный агент обычно воздушно-капельным путем при работе в закрытых коллективах. Очень часто наблюдается у детей в виде эпидемий в детских садах и школах.
Первые клинические симптомы появляются через 3-10 дней после контакта с больным. Вызывать нетипичную форму болезни могут бактерии, простейшие, вирусы, грибы. Наиболее распространенные:
- микоплазма;
- легионелла;
- коксиелла;
- вирусы;
- возбудитель лептоспироза;
- возбудитель туляремии;
- хантавирусы;
- коронавирусы (SARS).
В связи с размножением данных инфекционных агентов внутри клетки, возникают сложности их лабораторной диагностики. Не смотря на различные микробиологические, эпидемиологические и патогенетические особенности объединяет их устойчивость к β-лактамным антибиотикам и сульфаниламидам.
Атипичная пневмония отличается сглаженными симптомами легочных проявлений с преобладанием в клинической картине явлений выраженой интоксикации.
Основные признаки атипичной пневмонии:
- небольшое количество мокроты;
- неяркие проявления на рентгенограмме;
- невыраженный лейкоцитоз в крови;
- сильные головные боли;
- высокая температура;
- мышечные боли;
- выраженная слабость;
- несоответствие выражености интоксикации физикальным и рентгенологическим данным;
- отсутствие положительного эффекта от приема сульфаниламидов и бета-лактамных антибиотиков.
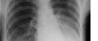
Нередко изменения на рентгенограммах предшествуют клинической симптоматике. А при выраженом иммунодефиците требуется выполнение более чувствительного метода компьютерной томографии для диагностики совсем небольших очагов.
В зависимости от возбудителя каждая нетипичная пневмония имеет свои особенности.
Классификация патологии и ее проявления
Нетипичная пневмония имеет несколько форм с учетом вида возбудителя:
- хламидийная;
- микоплазменная;
- острый респираторный синдром;
- болезнь легионеров;
- ку-лихорадка.
Признаки микоплазменной пневмонии
Возбудителем легочной инфекции является Мycoplasma pneumoniae.
Микоплазменная форма заболевания имеет стертую симптоматику и вялое течение по сравнению с другими видами воспаления легких.
При сниженном иммунитете патология протекает тяжело. Инкубационный период длится от 1 недели до месяца. Поражаются верхние дыхательные пути.
Микоплазменная пневмония протекает в виде ларингита, катарального назофарингита, острого трахеобронхита. Отмечаются следующие симптомы:
- непродуктивный пароксизмальный (приступообразный) кашель;
- заложенность носа;
- першение в горле;
- сухость носоглотки;
- осиплость голоса;
- субфебрильная температура;
- потливость;
- слабость;
- высыпания на коже;
- мышечная боль;
- воспаленные челюстные лимфоузлы.
Симптомы нетипичной хламидийной пневмонии
Патология вызвана внутриклеточными бактериями рода Chlamydia и Chlamydophila. Инкубационный период хламидийной пневмонии длится до трех недель. Заболевание имеет нетяжелое, но затяжное течение. Первые признаки болезни могут проявиться через 10–14 дней после инфицирования. Это:
- надрывистый кашель;
- синусит;
- гиперемия горла;
- температура тела до 39 °C;
- высыпания на коже;
- конъюнктивит;
- хрипы в легких;
- невралгия.
Болезнь легионеров
Возбудитель заболевания – L. Pneumophila, относящийся к роду Legionella. Инкубационный период легионеллеза короткий – 2–10 суток.
Статья в тему: Сотрясение мозга у ребенка — симптомы, причины и проявления, диагностика, методы лечения и профилактика
Воспалительный процесс нарастает стремительно и сопровождается тяжелыми симптомами при развитии.
Интоксикация проявляется в первые двое суток с момента инфицирования. Симптомы болезни легионеров:
- высокая температура тела (до 40 °C);
- озноб;
- сильные головные боли;
- ухудшение аппетита;
- диарея;
- интенсивная мышечная боль;
- потливость;
- заторможенность;
- обмороки;
- галлюцинации;
- бредовые состояния.
Тяжелый острый респираторный синдром
Такой вид болезни вызывается коронавирусом из семейства Coronaviridae. Это один из возбудителей летальных пневмоний. Инкубационный период – 2–10 суток. Тяжелый острый респираторный синдром (ТОРС-инфекция) проявляется инфекционно-токсическими и респираторными признаками:
- высокая температура тела (до 39 °C);
- головная боль;
- выраженная слабость;
- интенсивный сухой кашель;
- насморк;
- першение в горле;
- нарушение сердечного ритма;
- одышка;
- гипоксемия.
Клинические признаки
Атипичная форма пневмонии вначале своего развития способна маскироваться под банальную простуду и только спустя 3-4 дней, когда воспаление захватывает большую часть легочных тканей, появляется выраженная симптоматика:
- субфебрильная температура, может достигать 41˚С;
- головная, суставная, мышечная боль;
- обильное потоотделение;
- хроническая слабость;
- боли в области грудной клетки;
- нарушение сердечного ритма;
- одышка;
- сухой кашель с трудноотделяемой мокротой.
Признаки атипичной пневмонии
На фоне сильнейшей интоксикации организма человек испытывает сильную слабость, нет аппетита, присутствует головокружение. Эти симптомы характерны практически для всех форм атипичной пневмонии, но в зависимости от возбудителя, могут присутствовать и другие недомогания.
Особенностью болезни считается тот факт, что у некоторых взрослых или детей атипичная пневмония протекает без повышения температуры тела, что значительно затрудняет диагностику, а также не вызывает опасений у самых больных. В данном случае человека может беспокоить сухой кашель без отделения мокроты.
Признаки атипичной пневмонии могут немного отличаться, иметь менее или более выраженную симптоматику, которая зависит от возбудителя инфекции.
Хламидийное воспаление легких
Атипичная пневмония этого вида развивается в результате поражения организма внутриклеточными паразитами – хламидиями. Заражение происходит воздушно-капельным путем, поражает население любой возрастной категории, чаще проявляется у лиц со сниженным иммунитетом.
Вначале признаки болезни напоминают обычную простуду, но спустя пары дней к общей симптоматике присоединяется затрудненное дыхание, одышка, кашель, температура тела повышается до 39°С. У детей хламидийная пневмония часто осложняется лимфаденопатией, обструктивным бронхитом.
Опасность заключается в том, что болезнь часто поздно диагностируют, когда внутриклеточные паразиты обосновываются в обоих легких, что вызывает двухстороннее воспаление легких.
Диагноз ставится на основании комплексного обследования. На рентгеновском снимке четко просматривается интерстициальная или мелкоочаговая инфильтрация легких. Обязательно назначается анализ на выявление иммуноглобулинов к возбудителям. Схема лечения разрабатывается индивидуально для каждого пациента.
SARS или вирусная пневмония
В данном случае воспаление легочной ткани вызывается коронавирусной инфекции. Относится к сложным и тяжелым заболеваниям с высоким риском смертности. Вспышка инфекции в конце 2020 года привела к пандемии, тысячи смертей во многих странах мира. Инфекция быстро распространяется среди населения контактным или воздушно-капельным путем, поэтому в странах, где зафиксировали вспышки инфекции, ввели строгие карантинные мероприятия.
Для атипической пневмонии, которая появилась на фоне коронавируса, характерна неспецифическая симптоматика:
- отсутствие обаяния;
- головные и мышечные боли;
- озноб;
- повышение температуры тела;
- повышенная потливость.
Спустя 4-5 дней присоединяется одышка, сухой кашель, гипоксия. При тяжелом течении развивается дыхательная недостаточность. Больного госпитализируют в стационар, где проводят подключение к аппарату искусственной вентиляции легких.
Лечение коронавирусной инфекции – симптоматическое, назначается индивидуально для каждого пациента. До сих пор нет препарата или вакцины, которая бы смогла побороть Covid-19.
Легионеллезная пневмония
Диагностируется у взрослых и практически не встречается у детей. Основным источником болезни считаются устройства кондиционирования воздуха, поэтому встречается у офисных работников, сотрудников магазинов. Возбудителем является бактерия Legionella. В отличие от других форм атипичной пневмонии имеет стремительное развитие даже на начальных симптомах:
- температура повышается до 39-40°С;
- непродуктивный кашель;
- озноб;
- одышка;
- гнойно-слизистая мокрота;
- кровохарканье.
Для атипичных легочных проявлений характерна рвота, тошнота, мышечная слабость. Отсутствие грамотного лечения приведет к развитию почечной или дыхательной недостаточности. Риск летального исхода при данном виде пневмонии достаточно высокий, поэтому при первых проявлениях болезни нужно обращаться за медицинской помощью.
Микоплазменная пневмония
Симптоматика такой пневмонии напоминает ОРВИ, затем присоединяются одышка и боль в груди, кожная сыпь, носовые кровотечения. На рентгеновском снимке выявляют участки инфильтрации в виде размытых пятен и теней. Выявить возбудителя можно по результатам анализа мокроты, мазков из носа и горла больного. Лечение включает симптоматические средства и специфические препараты. При условии правильно подобранной терапии, выздоровление наступает в течение 2 недель.
Симптомы атипичной пневмонии у детей
У новорожденных почти во всех случаях болезнь протекает с осложнениями, плохо поддается терапии, протекает крайне тяжело. Периодически возникают кратковременные остановки дыхания, нарушения глубины и частоты дыхательных движений. Микоплазменная пневмония у детей любого возраста часто сопровождается увеличением селезенки, печени, появлением полиморфной сыпи на коже. Общие симптомы заболевания:
- снижение аппетита;
- апатия;
- вялость;
- диарея;
- рвота;
- одышка;
- сонливость;
- переменная температурная реакция (от высокой до субфебрильной).
Легионелез у детей и взрослых
Атипичная пневмония, вызванная легионеллами, – так называемая «болезнь легионеров», является следствием вдыхания зараженного воздуха из кондиционеров. Выявляется в 10% всех воспалений легких у взрослых и пожилых людей, особенно среди работников офисных помещений в жаркую погоду, редко наблюдается у детей.
Симптомы развиваются стремительно в первые один-два дня: подъем температуры до 40°С и выше, озноб, сухой кашель. Через сутки появляется одышкаа, слизистая или слизисто-гнойная мокрота, нередко кровохарканье. Помимо атипичных легочных проявлений присоединяется диарея, рвота, мышечные боли.
Развитие дыхательной и почечной недостаточности может привести к летальному исходу.
Аускультативно в легких преобладают влажные хрипы, на рентгенограммах прослеживаются долевые очаги инфильтрации с тенденцией к слиянию, плеврит.
Микробиологическая диагностика основывается на посевах мокроты, взятой при бронхоскопии или плеврального выпота на специальные среды.
Клинически улучшение может наступить через пять суток от начала специфического лечения химиопрепаратами. При этом на протяжении двух недель может сохраняться лихорадка. Инфильтраты в легочной ткани разрешаются в течение месяца, с возможным развитием пневмосклероза. Для полного выздоровления требуется длительный восстановительный период.
Диагностика
Особенность микоплазменной пневмонии – несоответствие физикальных данных рентгенологическим признакам.
При болезни легионеров отрицательный результат дает бакпосев биологических жидкостей.
Основная цель диагностики – дифференцирование начального периода патологического процесса от других заболеваний:
- туберкулеза;
- бронхиальной астмы;
- остальных форм пневмонии.
Чтобы выявить вид заболевания, пульмонолог назначает комплексное обследование. Нужны:
- анализ истории болезни пациента и симптомов;
- анализ крови на наличие антигенов;
- бронхоскопия (осмотр трахеи, мазок из зева, смыв из носоглотки);
- бакпосев крови, мокроты;
- иммуноферментный анализ крови (ИФА);
- ПЦР-диагностика для выявления возбудителя;
- рентгенография легких в нескольких проекциях;
- радиоиммунный анализ (РИА);
- компьютерная томография;
- анализ крови на уровень тромбоцитов (исключение тромбоцитопении);
- пульсоксиметрия (оценка уровня гемоглобина).
Микоплазменная патология
Заболевание, вызванное микоплазмой, отличается высоким риском заражения и возникновением эпидемии. Начинается в виде обычной респираторной инфекции, но характерным будет кашель на протяжении 2-3 недель. У трети пациентов наблюдается двухстороннее воспаление, но не стоит пугаться. Лечение проходит хорошо, почти всегда заканчивается выздоровлением.
Диагностика болезни основывается на инструментальных методах, показателях анализов, рентгеновских снимках. Курс назначается врачом. Недуг лечат специфическими химиопрепаратами. Курс терапии – 8-10 дней.
Лечение атипичной пневмонии
Терапия нетипичных форм воспаления легких проблематична. Еще нет препаратов для отдельных возбудителей заболевания и диагностических тест-систем. Симптомы атипичной пневмонии у взрослых, подростков и детей похожи. Лечение симптоматическое. Врачи в условиях стационара устраняют и облегчают признаки интоксикации.
Во время симптоматического лечения назначают:
- При высокой температуре и выраженном болевом синдроме – жаропонижающие средства и анальгетики (Панадол, Ибупрофен).
- Для устранения приступообразного кашля – муколитики и противокашлевые препараты (Мукалтин, Коделак, Амброксол).
- Для предотвращения отека легких – диуретики (Маннитол, Фуросемид).
- Чтобы выровнять ритм дыхания, убрать одышку – кортикостероиды (Рибавирин).
- Для укрепления иммунитета – иммуностимуляторы (Циклоферон, Иммунал) и витаминно-минеральные комплексы (Компливит, Витрум).
Статья в тему: Как лечить трахеит у детей и взрослых в домашних условиях — ингаляции, медикаментозные и народные средства
Антибиотикотерапия
Выбор антибактериального препарата зависит от вида возбудителя и его чувствительности к активным компонентам. Легкая и средняя стадия пневмонии допускает пероральную форму приема антибиотиков. Взрослым и детям с тяжелой формой болезни лекарство вводится капельно или в виде внутримышечных инъекций.
Для каждого вида атипичного воспаления легких предусмотрена отдельная схема лечения антибиотиками:
- Заражение микоплазмой. Применяют макролиды (Эритромицин, Азитромицин), линкозамиды (Клиндамицин). Курс лечения – 7–10 суток.
- Заражение хламидиями. Назначают тетрациклины (Доксициклин), макролиды (Кларитромицин). Длительность приема – 10–14 дней.
- Легионеллезная пневмония. Лечат фторхинолонами (Ципринол), тетрациклинами (Доксициклин), макролидами (Эритромицин). Курс терапии – от 3 недель и более.
- Атипичная ТОРС-инфекция. Применяется комплексная антибиотикотерапия лекарствами фторхинолового, тетрациклинового, цефалоспоринового ряда. Продолжительность – 2–3 недели.
Обязательные методы лечения
Помимо медикаментозной терапии, есть и другие обязательные методы лечения атипичного воспаления легких. Среди них:
- Инфузионное введение лекарств, которые купируют интоксикацию (раствор Рингера-Локка, Альбумин 5–10%, Гемодез – плазмозамещающий раствор). Иногда применяют переливание плазмы крови.
- Кислородотерапия (оксигенотерапия) и аэротерапия (вид климатотерапии). В первом случае аппаратными методами кровь насыщается кислородом. Во втором лечение прохладным воздухом, воздушными ваннами помогает устранить дыхательную недостаточность у ребенка или взрослого.
- Ингаляции, которые улучшают легочную вентиляцию, дренажную способность бронхов (Гексорал, Изофра, Беродуал). Этот же эффект дает Грудной эликсир.
Лечение
Лечение атипичной пневмонии подбирают индивидуально в зависимости от природы возбудителя, возраста пациента, наличия у него болезней, которые могут быть противопоказаниями к началу терапии и ее переносимости.
При развитии инфекции назначаются следующие группы медикаментов:
- Для понижения температуры ребенку можно давать медикаменты, которые в качестве главных компонентов содержат парацетамол и ибупрофен.
- При кашле рекомендованы муколитические и отхаркивающие средства, к примеру, Амброксол.
- Если воспаление легких вызвано микоплазмами, то прописывают макролиды и линкозамины. Это антибиотики на основе азитромицина, эритромицина, клиндамицина. Их нужно пить в течение минимум 1 недели. После того, как пройдут признаки инфекции давать их ребенку надо еще 2 суток.
- Когда инфекция спровоцирована хламидиями, то рекомендованы антибиотики тетрациклинового ряда и макролиды. Ребенку можно давать Азитромицин и его аналоги, такие как Сумамед, Хемомицин. Из тетрациклинов можно сам Тетрациклин или Доксициклин (Юнидокс Солютаб). Курс антибиотикотерапии должен быть не меньше 10 суток.
- При легионеллезной пневмонии рекомендован эритромицин, рифампицин или доксициклин.
- При ТОРС-инфекции, чтобы не присоединилась бактериальная инфекция назначают цефалоспорины, тетрациклины, бета-лактамы.
Гонконгские пульмонологи сообщают о том, что ТОРС-инфекцию с успехом можно вылечить переливаем крови больных, которые перенесли SARS.
При воспалении легких, которое спровоцировано коронавирусами рекомендована кислородотерапия, а чтобы предупредить отек легких назначают мочегонные средства.
Прогноз и профилактика
При сильном иммунном статусе пациента и своевременном лечении прогноз у нетипичной пневмонии благоприятный. У новорожденных она иногда осложняется эмфиземой легких. При тяжелом течении заболевания нередко происходит переход в хроническую форму с образованием пневмосклероза. При низком иммунитете ТОРС инфекция может привести к летальному исходу.
Основная профилактика атипичных форм воспаления легких – здоровый образ жизни. Во избежание инфицирования нужно соблюдать определенные правила:
- воздерживаться от посещения общественных мест в период пика вирусных заболеваний;
- надевать защитную маску при контакте с больными;
- регулярно мыть руки с обработкой антисептическими средствами;
- часто проветривать и проводить влажную уборку с дезинфекцией в помещениях, где находятся больные.
Риски и осложнения
Атипичные пневмонии более тяжелые, чем те, которые развиваются на фоне бактериальной инфекции. Сложность заключается в том, что их симптомы смазанные, вначале напоминают банальную простуду, но спустя пару дней состояние человека резко ухудшается. К частым и распространенным осложнениям болезни относят:
- дыхательную недостаточность;
- абсцесс легкого;
- плеврит;
- эмпиема плевры;
- гангрена легкого;
- миокардит;
- менингит;
- железодефицитная анемия.
Все эти состояния крайне опасны для здоровья и жизни, могут привести к смерти. Исключить тяжелые последствия болезни можно только при комплексном обследовании и правильной терапии.
