Описание
Пневмосклероз – патологический процесс, характеризующийся замещением легочной ткани соединительной, что сопровождается нарушением эластичности и газообмена в пораженных участках.
Процесс носит необратимый характер, постепенно состояние усугубляется за счет разрастания соединительной ткани, которая не способна выполнять функции, возложенные на легочную ткань. Такой прогрессирующий процесс требует медицинской помощи, потому как без лечения существует угроза инвалидности и даже смерти от осложнений. Пневмосклероз развивается как исход воспалительных или дистрофических заболеваний легких, чаще встречается у мужчин в возрасте 50 лет и выше.
Выделяют ограниченный и диффузный пневмосклероз, которые различаются по распространенности патологического процесса в легких. Диффузный пневмосклероз протекает значительно тяжелее за счет большого объема поражения легочной ткани.
По степени выраженности замещения легочной ткани соединительной выделяют:
- пневмофиброз – предшествует пневмосклерозу, характеризуется чередованием воздушной легочной ткани и измененными участками;
- пневмосклероз – уплотнение и замещение паренхимы легких соединительной тканью;
- пневмоцирроз – развивается как исход пневмосклероза, характеризуется полным замещением легочной ткани, сосудов, бронхов соединительной тканью, уплотнением плевры, как следствие легкие уменьшаются в размере, что приводит к смещению органов средостения в сторону поражения.
Пневмосклероз может быть исходом следующих заболеваний:
- ХОБЛ (хроническая обструктивная болезнь легких), хронический бронхит;
- перенесенные инфекционные заболевания легких;
- травмы и ранения грудной клетки, в том числе и легких;
- саркоидоз легких;
- длительное течение плевритов;
- инородные тела в бронхах;
- наследственные заболевания легких.
Несмотря на различные причины возникновения пневмосклероза, механизм заболевания остается единым для всех. Он заключается в нарушении вентиляционной функции легких и дренажной функции бронхов, также сопровождается нарушением лимфо- и кровообращения. Такие изменения способны привести к развитию хронической дыхательной недостаточности, поэтому важно не игнорировать симптомы заболеваний органов дыхания, а сразу же обращаться за помощью к врачу.
Описание заболевания и его виды
Что такое пневмосклероз легких? Это достаточно опасное заболевание, развитие которого сопровождается замещением легочной ткани соединительной. Его возникновение обусловлено воспалительными изменениями непосредственно в дыхательной системе. Одновременно с этими процессами происходит нарушение газообмена, заметное снижение эластичности тканей. В результате соединительные элементы разрастаются, бронхи деформируются и уменьшаются в объеме.
Пневмосклероз легких
Впервые термин «пневмосклероз» был введен в обиход Р. Лаэннеком в далеком 1819 году. Тогда ученый применял его для обозначения воспаления легких в хронической стадии, развивающееся вследствие бронхоэктаза. Это заболевание может настигнуть человека абсолютно в любом возрасте. В несколько раз чаще пневмосклероз диагностируется у представителей сильного пола.
Существует несколько классификаций рассматриваемого недуга.
В зависимости от распространения болезни в дыхательной системе выделяют диффузный и очаговый пневмосклероз.
В первом случае патологический процесс распространяется на 1 или 2 дольки легкого, вызывая нарушение структуры тканей в этой области. На фоне таких изменений объем органа резко сокращается, а газообмен перестает функционировать.
Очаговый или ограниченный пневмосклероз сопровождается уплотнением тканей. При этой форме недуга число пораженных областей гораздо меньше. При детальном изучении отмечается присутствие склерозированных зон с гнойным экссудатом.
По степени интенсивности развития патологического процесса принято выделять такие разновидности пневмосклероза:
Пневмофиброз. В легочной ткани разрастается фиброзная.- Склероз. Легочные элементы в полной мере заменяются соединительной тканью, которая усиленно деформирует бронхи.
- Цирроз. Коллаген замещает плевру, происходит снижение работоспособности легких.
Определение вида болезни позволяет назначить наиболее эффективную терапию.
Помимо перечисленных выше, существуют и другие формы заболевания. Их принято классифицировать по месту расположения очага поражения:
- Перибронхиальный пневмосклероз. При этой патологии происходит разрастание соединительной паренхимы вокруг бронхов.
- Интерстициальный. В роли источника недуга обычно выступает одноименная пневмония. Основной его мишенью является участок рядом с сосудами и бронхами.
- Периваскулярный. Патологический процесс затрагивается области, окружающие кровеносные сосуды. Также к этой категории относятся перилобулярная и альвеолярная формы болезни.
Пневмосклероз – диагностика
Результаты диагностических данных будут зависеть от обширности поражения легких. При прослушивании над зоной локализации пневмосклероза обнаруживается ослабленное дыхание и хрипы. Внешне может обнаруживаться западание грудной клетки. Для диагностики пневмосклероза применяют следующие методы:
- Рентгенография. Пневмосклероз на рентгене выявляется даже на бессимптомной стадии. С помощью снимка можно определить обширность поражения и характер заболевания.
- Бронхоскопия. Пневмосклероз при этом виде диагностики определяется как хронический бронхит. Помогает выявить силу патологических процессов.
- Пикфлоуметрия, спирометрия. При наличии пневмосклероза данный вид обследования укажет на уменьшение жизненной емкости легких и снижение проходимости бронхов.
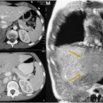
- Мрт и КТ легких. Эти виды диагностики помогают получить детальную информацию о патологии дыхательной системы и выявить трудноопределяемый прикорневой пневмосклероз.
Методы диагностики
Что такое пневмосклероз и каковы его признаки, хорошо показывает рентгенография. На снимках можно увидеть малейшие изменения, происходящие в легочной ткани, степень их выраженности и распространения. Метод помогает установить диагноз, когда нет выраженных симптомов при пневмосклерозе. На рентгенограмме, выполненной в прямой и боковой проекции, можно рассмотреть имеющуюся в легком опухоль.
По легочному рисунку и разветвлению бронхов определяют размеры пораженной области. Признаки пневмосклероза, выявленные с помощью рентгенографии, способны отразить симптомы сопутствующих заболеваний. В норме соединительная ткань на снимке отображаться не должна. Когда она увеличена, поверх легочного рисунка можно обнаружить ячеистость одного из следующих видов – мелкую, среднюю или грубую. Подобный рисунок означает наличие воспаления альвеол.
Когда есть необходимость изучения внутридольковой соединительной ткани, чтобы определить степень ее поражения, наряду с рентгенографией проводится томографическое исследование.
Способы выявления болезни не ограничены аппаратными методиками. Помогает установить диагноз исследование функции внешнего дыхания. Оно помогает выявить ухудшение диффузии легких и нарушение вентиляции. С этой целью применяют спирографию. Метод относится к одним из самых удобных. Для диагностики не приходится вводить в дыхательные пути различные инструменты.
Пневмосклероз – причины
Рассматривая пневмосклероз легких, что это такое, и как его лечить, врачи стараются выяснить причины, приводящие к этому состоянию. Среди главных причин, провоцирующих заболевание, числятся:
- легочные патологии (тромбоз легких, микоз, пневмония, хронический бронхит, плеврит);
- болезни сердца и сосудов;
- алкоголизм;
- активное и пассивное курение;
- ионизирующее облучение;
- работа, связанная с вдыханием газов и пыли;
- побочное действие некоторых лекарств;
- травмы грудной клетки.
Пневмосклероз у пожилых людей и людей предпенсионного возраста развивается чаще, чем у людей до 50 лет. Это связано со снижением иммунной функции организма, зашлакованностью органов, ухудшением обменных процессов. Пневмосклероз, развивающийся в этом возрасте, может охватить сразу большую площадь и привести к резкому ухудшению здоровья. По этой причине важно обращаться к врачу при первых симптомах этого заболевания для проведения диагностики и лечебных мероприятий.
Причины возникновения заболевания
Для развития любого недуга необходим толчок, это относится и к такому заболеванию, как диффузный пневмосклероз легких. Причины его проявления следующие:
- Болезни легких.
- Воспаление.
- Хронические бронхиты.
- Грипп.
- Бронхиальная астма.
- Сердечная недостаточность.
- Пневмокониоз.
- Коллагеновые болезни.
- Разнообразные детские инфекции.
- Травматические повреждения.
- Лучевое влияние.
- Инородные тела, которые спрятались в бронхиальном дереве.
Нарушается вентиляция легких, что оказывает отрицательное воздействие на кровообращение и лимфатическую систему. Все это, объединившись, способствует разрастанию соединительной ткани.
К причинам возникновения заболевания можно еще отнести:
- Неэффективное лечение патологий, которые происходят в органах дыхания.
- Травма грудной клетки и легкого.
- Заболевание соединительной ткани.
- Отравляющие вещества.
- Болезни легких, передающиеся по наследству.
- Некоторые лекарственные препараты.
Причины появления заболевания.
Механизм развития пневмосклероза обычно связываются с другими заболеваниями, которые не были долечены. Например:
- пневмония,
- перибронхит,
- хронический бронхит,
- туберкулез,
- саркоидоз легких,
- микоз,
- альвеолит,
- наследственные заболевания.
В том числе к пневмосклерозу могут привести полученные травмы и ранения грудной клетки.
Одной из причин появление патологии может стать гемодинамическое нарушение в малом круге кровообращения.
Не последнюю роль в развитии заболевания играют полученные излучения, прием токсических лекарственных средств.
Часто пневмосклероз появляется после перенесения стафилококковых пневмоний с абсцессом.
Симптомы
Фото: ceemax.in
Выраженность симптомов заболевания зависит от тяжести процесса, который, в свою очередь, зависит от объема пораженной легочной ткани. Очаговый (локальный) пневмосклероз обычно никак себя не проявляет, и достаточно длительное время человек не подозревает о его наличии. Иногда пациенты с очаговым пневмосклерозом предъявляют жалобы на незначительный кашель со скудной мокротой. Диффузный пневмосклероз протекает тяжелее, так как патологический процесс охватывает большой объем легочной ткани. Первым симптомом, на который обращает внимание человек, является одышка. Изначально она появляется лишь после интенсивных физических нагрузок. В таком случае человек не сразу подозревает о возможности заболевания и не обращается к врачу, так как даже у здоровых людей может появиться одышка после длительного выполнения физических упражнений. Однако постепенно состояние ухудшается, одышка начинает беспокоить при легком беге, ходьбе и даже в покое. Кроме этого, людей с диффузным пневмосклерозом беспокоит кашель. Сначала он редкий, затем становится навязчивым с выделением слизистой или слизисто-гнойной мокроты.
На фоне данных специфических симптомов наблюдаются общие симптомы в виде слабости и повышенной утомляемости, приводящие к снижению трудоспособности, а также нередко заболевание сопровождается снижением массы тела.
Из-за уменьшения объема функционирующей легочной ткани постепенно возникает хроническая дыхательная недостаточность. Внешне данное состояние проявляется цианозом (посинением кожных покровов). В зависимости от стадии хронической дыхательной недостаточности различна локализация цианоза. Так, например, при субкомпенсированной стадии наблюдается посинение губ и пальцев рук и ног. В стадию декомпенсации цианоз распространяется на большие участки тела.
Симптомы заболевания.
Особенность ограниченной формы патологии состоит в том, что она никак не проявляется, разве что человека может изредка беспокоить кашель.
Диффузный пневмосклероз всегда проявляется одышкой, причем если сначала она возникает после увеличения физической нагрузки, то после – и в покое. Оттенок кожи становится синюшным. Ещё одним признаком проблемы могут стать т.н. «пальцы Гиппократа» – верхние фаланги расширяются. Пальцы становятся похожи на лягушачьи.
Цирроз легкого дает о себе знать грубой деформацией грудной клетки, атрофией межреберных мышц. Внутренние органы могут сместиться.
Симптомы пневмосклероза
Симптомы пневмосклероза во многом зависят от локализации патологии, а также от разновидности заболевания. При диффузном пневмосклерозе легких обычно наблюдаются одышка и цианоз.
Одышка поначалу проявляется только при значительных физических нагрузках. Дело в том, что даже когда часть альвеол поражена, в процесс вентиляции включаются резервные альвеолы, которых в легких довольно много. Поэтому появление одышки может быть признаком того, что поражение зашло настолько далеко, что даже многочисленные резервные альвеолы не справляются с вентиляцией легких.
Частота дыхания при этом может не меняться, чаще наблюдаются затруднение и удлинение выдоха.
Цианоз, то есть синюшная окраска кожи и слизистых, обусловленная высоким содержанием восстановленного гемоглобина в крови, является следствием гиповентиляции альвеол, нарушением диффузии кислорода в них и изменением гемодинамики.
Также при диффузном пневмосклерозе больные нередко жалуются на кашель. Сначала он проявляется лишь изредка, затем усиливается, сопровождаясь отделением гнойной мокроты.
При ограниченном пневмосклерозе одышки и цианоза может не быть, но при прослушивании можно заметить влажные хрипы в одном и том же месте — обычно в нижних отделах.
Выявить пневмосклероз помогает рентгенография. Исследование, как правило, дает вполне ясную картину:
- легочный рисунок деформируется из-за избыточного разрастания легочной ткани вокруг бронхов и в интерстиции;
- из корня исходят грубые тяжистые тени, постепенно исчезающие к периферии.
Если Вы обнаружили у себя схожие симптомы, незамедлительно обратитесь к врачу. Легче предупредить болезнь, чем бороться с последствиями.
Лечение народными средствами
При обнаружении заболевания диффузный пневмосклероз легких лечение народными средствами тоже дает положительные результаты.
Несколько рецептов, которые помогут вам.
- Тимьян ползучий, пикульник обыкновенный, голубой эвкалипт, овес посевной. Одну из этих трав берут в количестве одной столовой ложки. Заливают 0,5 л кипятка и настаивают в термосе всю ночь. Начиная с утра и на протяжении всего дня отвар принимают горячим. Один раз в месяц вид травы меняется.
- Варится луковица. Перетирается с сахаром. Каждые два часа принимается по одной столовой ложке. Луковицу можно сварить и в молоке. Это будет более эффективно.
- На семь дней на нижнюю полку холодильника кладете два листа алоэ. После этого лист измельчаете. Смешиваете его с медом – две столовые ложки — и двумя стаканами молодого красного вина. Оставляете на четырнадцать дней в темном прохладном месте. Принимаете средство, таким образом, одна столовая ложка перед каждым приемом пищи, но не более четырех раз.
При таком заболевании, как диффузный пневмосклероз легких, лечение народными средствами используется довольно часто. Только стоит помнить, что без консультации врача прибегать к такому спасению от заболевания не стоит.
Лечение пневмосклероза легких
В большинстве случаев пневмосклероз излечивается, но многое зависит как от прогрессирования изменений в легких и скорости, с которой развиваются дыхательная и сердечная недостаточность, так и от конкретной разновидности заболевания.
Наиболее тяжелая ситуация возникает при формировании «сотового легкого», а также при развитии вторичной инфекции, осложняющей заболевание. Формирование «сотового легкого» ведет к резкому обострению дыхательной недостаточности, повышению давления в легочной артерии и развитию легочного сердца — сердечной патологии, при которой значительно страдают трудоспособность, качество и продолжительность жизни. Развитие вторичной инфекции, туберкулезных или микотических процессов может привести к летальному исходу.
Лечением пневмосклероза занимаются пульмонологи или терапевты. Пациента могут поместить в отделение пульмонологии при остром воспалительном процессе в легких либо при развитии осложнений.
Что касается терапии, то она основывается на устранении факторов, которые привели к возникновению патологии. Ограниченный пневмосклероз, не проявляющий себя клинически, не нуждается в активной терапии. Если же при пневмосклерозе обостряется воспалительный процесс, врач может назначить антимикробные, отхаркивающие, муколитические, бронхолитические средства. Также помогает бронхоскопия, позволяющая улучшить дренаж бронхиального дерева.
При сердечной недостаточности рекомендуются сердечные гликозиды и препараты калия.
Диффузный пневмосклероз, а также заболевание, при котором наблюдается аллергический элемент, лечат с применением глюкокортикоидов.
Хирургическое лечение (резекция пораженной части легкого) необходимо при фиброзах и циррозах, деструкции и нагноении легочной ткани.
Сегодня специалисты нередко применяют стволовые клетки, позволяющие восстановить нормальную структуру легких и их газообменную функцию.
Не стоит забывать о лечебной физкультуре, массаже, оксигенотерапии и физиотерапии, несложных дыхательных упражнениях, позволяющих улучшить функцию внешнего дыхания.
Диффузный пневмосклероз
Диффузный пневмосклероз – исход различных патологических процессов, в результате которых в легких происходит разрастание соединительнотканных элементов, вытесняющих нормальную функционирующую легочную ткань, и нарушается газообмен. В структуре пневмосклероза диффузная и очаговая форма встречаются примерно в равных долях. Вместе с тем, если очаговый пневмосклероз не вызывает клинически значимого нарушения функции легких, то диффузный может привести к развитию артериальной гипоксемии, хронической дыхательной недостаточности, легочного сердца и других инвалидизирующих осложнений. Важнейшая задача пульмонологии состоит в сдерживании прогрессирования патологических процессов в легких, предотвращении утраты трудоспособности и ощутимом улучшении качества жизни пациентов с диффузным пневмосклерозом.
Профилактика пневмосклероза
Можно принимать меры, благодаря которым вероятность возникновения заболевания значительно уменьшается. Необходимо:
- предупреждать заболевания органов дыхания;
- своевременно лечить простудные заболевания, инфекции, бронхиты, туберкулез, заболевания легких;
- соблюдать предосторожность при взаимодействии с пневмотоксичными веществами, аккуратно принимать назначенные врачом пневмотоксические препараты.
Если на производстве есть вероятность вдыхания пыли или газа, необходимо использовать респираторы. На рабочих местах шлифовальщиков, резчиков по стеклу и т.п. необходимо устанавливать вытяжную вентиляцию, также вытяжная вентиляция в обязательном порядке должна ставиться в шахтах.
Прекращение курения, закаливание, легкие физические упражнения, лечебная физкультура также способствуют профилактике пневмосклероза.
Данная статья размещена исключительно в познавательных целях и не является научным материалом или профессиональным медицинским советом.
Пневмосклероз легких: продолжительность жизни.
Конкретные цифры может назвать лишь врач, и то не всегда. Очень многое зависит от стадии пневмосклероза, а также от своевременного лечения. Если Вы сразу же заметили признаки пневмосклероза и вылечили его вместо с заболеванием его вызывавшим, то всё может обойтись без серьёзных последствий. А если дело дошло до пересадки лёгких, то всё не так радужно…
- При ограниченном пневмосклерозе обычно не наблюдается никаких внешних симптомов, иногда появляется кашель с малым количеством мокроты. При осмотре врачом пульмонологом может обнаружиться западение грудной клетки на пораженной стороне.
- При диффузном пневмосклерозе пациента беспокоят одышка, которая в начале заболевания появляется только при физических нагрузках, но с течением процесса появляется в состоянии покоя. При осмотре: кожа пациента бледная, цианотичная. Характерный симптом – пальцы Гиппократа, которые представляют собой утолщения и видоизменения пальцев, которые становятся похожими на барабанные палочки. В основном, диффузный пневмосклероз имеет клиническую картинку хронического бронхита. Пациенты жалуются на кашель, иногда с выделением гнойной мокроты. Могут появиться ноющие боли в грудной клетке, потеря массы тела, недомогание и повышенная утомляемость. Также развивается гипертензия по малому кругу кровообращения.
- При циррозе легкого развиваются следующие симптомы – грубые нарушения строения грудной клетки, межреберные мышцы атрофируются, органы средостения и трахея смещены в пораженную сторону.
Осложнения пневмосклероза
- Грубые нарушения вентиляции легких
- Сердечно-сосудистая недостаточность
- Дыхательная недостаточность
- Эмфизема легких
Формы заболевания
Пневмосклероз классифицируют в зависимости от степени поражения лёгких. Выделяют очаговую и диффузную форму патологии.
При очаговой или локальной форме пневмосклероза нарушений эластичности и газообмена легочной паренхимы не отмечается. Возникает уплотнение и образование гнойных очагов на тканях легких, различных по размерам. В зависимости от размеров поражённых областей очаговый пневмосклероз подразделяется на мелкоочаговый и крупноочаговый. При данной форме болезнь может протекать незаметно для самого больного, а проявляться лишь в незначительных признаках, характерных и для каких-либо других заболеваний дыхательной системы, например, часто возникающий кашель, сопровождаемый выделением небольшого количества мокроты. Диагностируется патология только при обследовании пациента при помощи рентгенологического аппарата.
Диффузная или распространённая форма пневмосклероза характеризуется поражением всей легочной ткани. При этом наблюдается нарушение структуры легких, их уплотнение и уменьшение в объемах, снижение вентиляционных функций.
Диффузный умеренный пневмосклероз протекает не так тяжело, в сравнении с основной формой болезни, а также несёт в себе меньшую опасность для организма. Но, исходя из того, что заболевание быстро прогрессирует, очень важно выявление и устранение признаков даже умеренного пневмосклероза уже на самых ранних этапах его развития. Таким образом, возможно избежать множества нежелательных последствий для здоровья.
По степени поражения пневмосклероз легких подразделяется на фиброзный, обычный склерозный и циррозный.
При фиброзной степени очаги поражения ограничены, и они чередуются со здоровыми областями.
При склерозной степени дыхательные органы теряют первоначальную воздушность, становятся уплотнёнными и уменьшенными.
Циррозная степень, как наиболее тяжёлая, характеризуется полной заменой легочной паренхимы на соединительную ткань.
Стоит отдельно упомянуть пневмосклероз базальных сегментов, который развивается в нижних отделах основных дыхательных органов. Причиной его возникновения в большинстве случаев выступает воспаление нижних долей легких.
Лечение
Главным в лечении пневмосклероза является устранение причин, приведших к развитию пневмосклероза. В воспалительный период пациентам показана госпитализация. Ограниченный пневмосклероз, как правило, не требует активных медицинских вмешательств. Если он обостряется воспалительными процессами – назначается адекватная антибактериальная терапия, назначаются отхаркивающие препараты, муколитики и противокашлевые. Иногда проводится бронхоальвеолярный лаваж (улучшение дренажа бронхов). При развитии сердечно-сосудистой недостаточности назначают сердечные гликозиды, препараты калия (Панангин).
Помимо медикаментозной терапии хорошее действие оказывает физиотерапия. Назначают массаж грудной клетки, лечебную физическую культуру, курсы оксигенотерапии.
В некоторых случаях пневмокслероз требует хирургического вмешательства. При очаговых пневмосклерозах проводится резекция пораженного участка легкого.
Фото: likar.info
На каждом приеме врач производит общий осмотр пациента, с помощью которого предварительно оценивается состояние человека. При пневмоциррозе можно обнаружить деформацию грудной клетки, на которую обратит внимание не только врач, но и сам пациент. Аускультируя легкие, врач выслушивает ослабленное дыхание, влажные и сухие хрипы. Следует отметить, что такая аускультативная картина характерна для диффузного пневмосклероза, при очаговом пневмосклерозе результаты аускультации легких мало отличаются от нормы. Далее врач выписывает направление на рентгенологическое исследование легких. С помощью данного исследования удается обнаружить изменения в легочной ткани, оценить их распространенность и степень выраженности. На рентгенограмме выявляется усиление легочного рисунка, при циррозе определяется уменьшение в размерах пораженной части или целого легкого, за счет чего происходит смещение органов средостения в пораженную сторону. Нижние отделы легких могут приобретать вид пористой губки, в таком случае легкое называют «сотовым». Более детальную оценку о структуре легочной ткани дают КТ и МРТ.
При пневмосклерозе уменьшается объем нормально функционирующей легочной ткани, как следствие легкие не справляются на 100% со своими непосредственными функциями. Чтобы это установить, назначается оценка функции внешнего дыхания. Этот метод исследования помогает оценить вентиляционную функцию легких с помощью графической регистрации и последующей обработкой полученных данных на компьютере. Используя пробу с бронхолитиками (средствами, расширяющими просвет бронхов), можно выявить обратимую или необратимую бронхообструкцию. Также обнаружить это явление позволяет бронхоскопия. Этот эндоскопический метод направлен на визуализацию трахеобронхиального дерева.
Фото: sanatoriy-kirova.ru
Чтобы предотвратить развитие пневмосклероза, следует своевременно лечить заболевания органов дыхания, соблюдать меры предосторожности при взаимодействии с пневмотоксическими веществами, не откладывать поход к врачу при возникновении характерных симптомов. При работе на вредных производствах важно использовать респираторы, которые предотвращают попадание пыли и химических веществ в дыхательные пути. Кроме того, непосредственное начальство производства должно позаботиться об исправной работе вытяжной вентиляции.
При диагностировании пневмосклероза лечение начинается с изменения образа жизни. В первую очередь рекомендуется отказаться от курения, так как сигареты способны усугублять бронхообструкцию. Все члены семьи должны понимать, что существует понятие пассивного курения, поэтому важно не только самому пациенту забыть о сигаретах, но также и людям, проживающих с ним на одной жилищной площади. Питание должно быть дробным, полноценным, достаточно наполненным витаминами и микроэлементами. Несмотря на то, что пневмосклероз сопровождается одышкой, в особенности при занятиях спортом, не стоит полностью отказываться от физических упражнений. Необходимо устраивать пешие прогулки на большие дистанции, выполнять лечебную гимнастику.
Учитывая, что при пневмосклерозе легкие не могут в полной мере обеспечить организм необходимым количеством кислорода, используется оксигенотерапия. Такое лечение помогает насытить плазму крови кислородом, что приводит к уменьшению степени выраженности одышки. Однако следует соблюдать правила безопасности, так как частое или избыточное применение чистого кислорода или ингаляционных смесей с высокой концентрацией кислорода может привести к кислородной интоксикации.
Для симптоматического лечения кашля используются отхаркивающие средства, способствующие отделению мокроты. С этой же целью назначаются муколитические средства, которые разжижают мокроту, тем самым облегчают ее выведение.
Диагностика
С подобными симптомами следует обратиться к пульмонологу, который сумеет выявить типичную для болезни одышку, деформацию пальцев и цианоз. При осмотре врач фиксирует ослабленное дыхание, влажные и сухие хрипы.
Чтобы подтвердить диффузный пневмосклероз легких, проводится рентгенография или компьютерная томография, при помощи которых можно увидеть эмфизему, уменьшение объемов и рисунка органа.
С целью более точного обследования изменений бронхов и сосудов специалисты могут использовать бронхографию или ангиопульмонографию. Проверить функции внешнего дыхания позволяет спирометрия или плетизмография. В редких случаях требуется трансбронхиальная биопсия легкого. Проводится также морфологическое исследование. Дифференцировать данную патологию нужно от бронхиальной астмы, бронхита, васкулитов или сердечной недостаточности.
Питание при пневмосклерозе
Если человеку поставлен диагноз пневмосклероз, ему следует пересмотреть свой образ жизни и питание. Хотя неправильное и несбалансированное питание не является прямой причиной, приводящей к пневмосклерозу, оно отражается на общем состоянии здоровья. Задачей питания при пневмосклерозе является поддержание крепкого иммунитета и общего тонуса организма.
Следует соблюдать такие общеизвестные принципы:
- Рацион питания должен быть сбалансированным, чтобы организм получал все необходимые вещества, белки, жиры и углеводы в правильном соотношении.
- Меню должно включать большое количество продуктов с витаминами, овощей и фруктов.
- Следует заботиться о разнообразии продуктов в меню, чтобы с пищей поступали все необходимые микроэлементы.
- Для повышения защитных сил организма рекомендуется употреблять мед, лимоны, киви, болгарский перец, имбирь, квашеная капуста, чеснок, редька, шиповник, различные ягоды.
Пневмосклероз легких – продолжительность жизни
Базальный пневмосклероз относится к заболеваниям, которые приводят к необратимым последствиям. Легочная ткань меняет свою структуру на более плотную, после чего ее нельзя вернуть в первоначальное состояние. Если заболевание имеет очаговый характер и не осложнено эмфиземой легкого, то прогноз при пневмосклерозе может быть благоприятным. При правильном лечении и постоянной профилактике осложнений больной может продолжать привычную жизнь.
Слабый иммунитет, вредные привычки, обширный очаг или диффузное поражение, сопутствующие заболевания, неправильное лечение могут стать причинами ухудшения состояния пациента и сокращения срока жизни до нескольких лет. Сколько конкретно сможет прожить пациент с пневмосклерозом, будет зависеть от тяжести заболевания, его скорости прогрессирования и общего состояния здоровья.
Лекарства
Фото: proizjogu.ru
Лекарственные средства не способны избавить пациента от пневмосклероза, они лишь облегчают симптомы заболевания. Кашель при пневмосклерозе малопродуктивный, чтобы это исправить, назначаются отхаркивающие и муколитические средства. Амброксол – самый распространенный препарат за счет своей небольшой стоимости и достаточной эффективности. Свой эффект препарат достигает благодаря стимуляции желез слизистой оболочки бронхов. Таким образом повышается содержание слизистого компонента мокроты, что облегчает ее выделение. Переносится препарат достаточно хорошо, побочные действия проявляются крайне редко. Например, при индивидуальной непереносимости компонентов лекарственного средства развивается аллергическая реакция, которая может проявиться как крапивницей, так и ангионевротическим отеком. Реже наблюдаются другие побочные эффекты: тошнота, рвота, диарея, боли в животе, головные боли, общая слабость.
Бромгексин – еще один препарат, который используется для разжижения мокроты. Не используется у детей до 3х лет и беременных (1 триместр). Во всех остальных случаях строгих противопоказаний к применению препарата нет. С осторожностью стоит отнестись людям, у которых имеется аллергическая реакция на действующее вещество – бромгексина гидрохлорид. Таким людям следует заранее предупредить своего лечащего врача о наличии аллергии на предыдущий прием препарата, чтобы врач подобрал другое лекарственное средство с необходимым эффектом.
